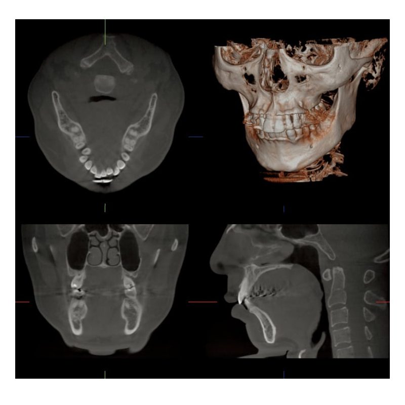
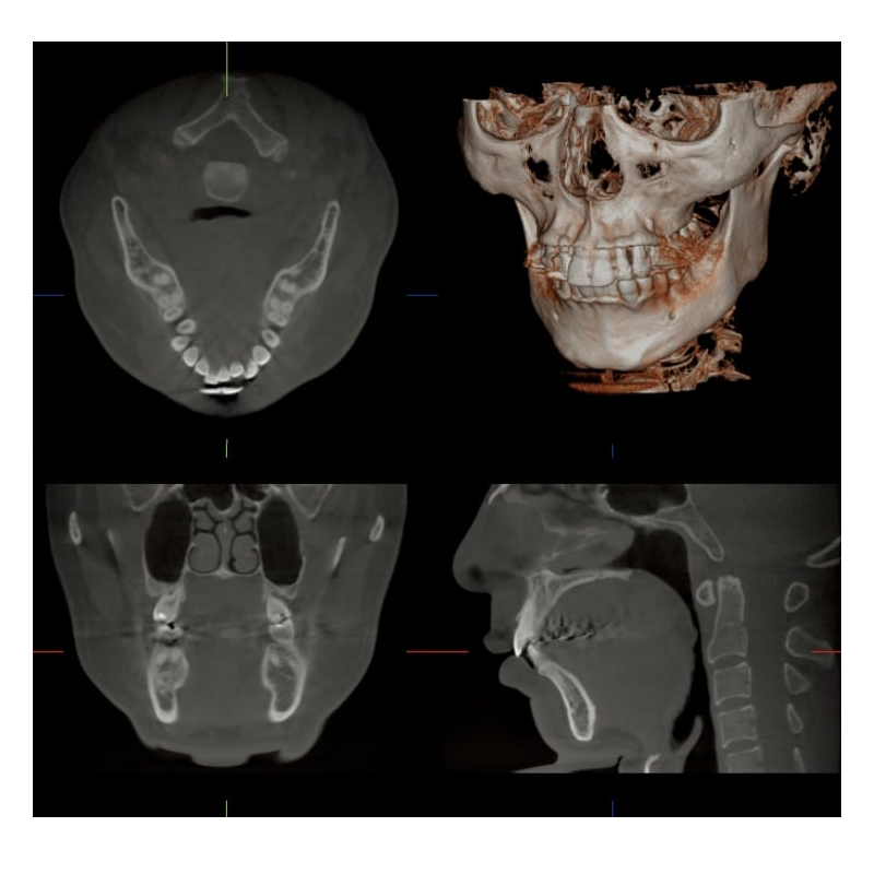
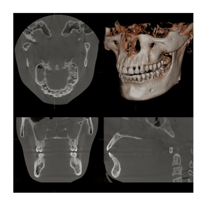
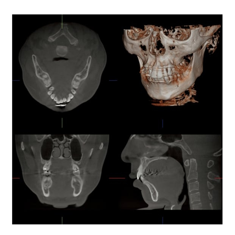
3D (Accuitomo 170)

Information / Démonstration

(Accuitomo 170) 3D

FOV Jusqu'à: Ø 170 X H 120

  • La position assise offre une contention parfaite du patient.

  • Une mécanique robuste et sans vibrations, combinée à un examen à 360°, pour des prises de vue exceptionnelles.

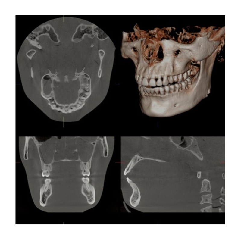
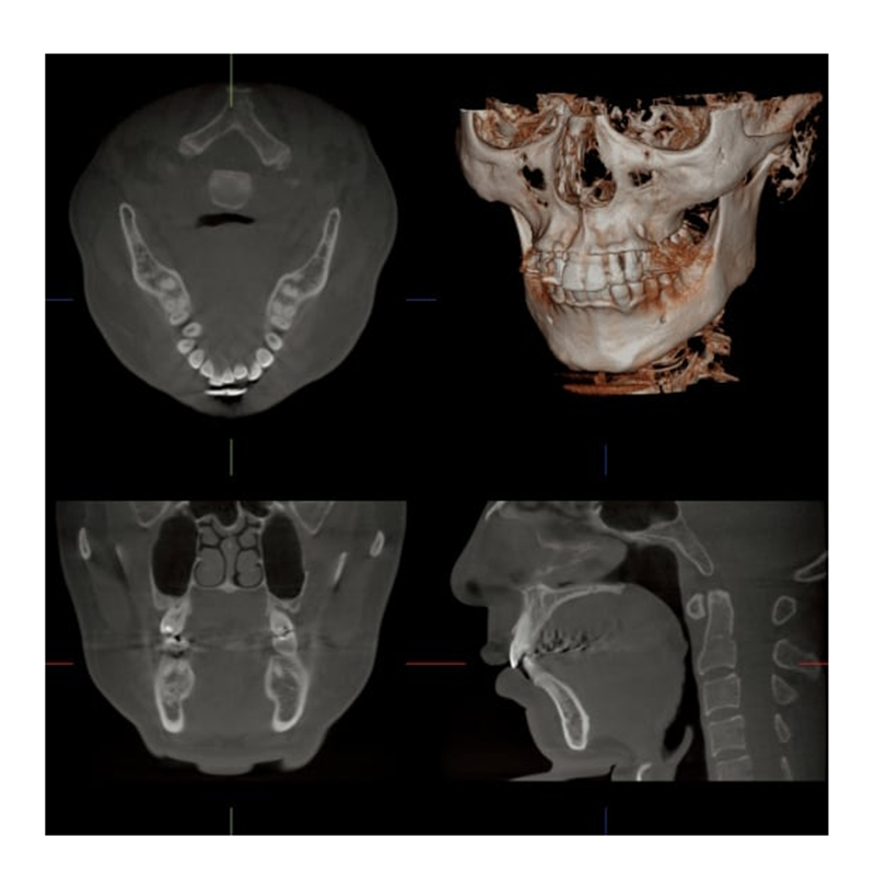
  • Grâce à l'(Accuitomo 170), les prises de vues sont d’une résolution inégalée et sur de grands volumes d’acquisition.

  • (Accuitomo 170); LA référence des radiologues pour diagnostiquer les détails les plus subtils de l'oreille, comme le Rocher, l'Étrier, l'Enclume et le Marteau.

  • UN OUTIL VRAIMENT EXTRAORDINAIRE !

- ACTION IDS 2025 (Accuitomo 170)

10 Ans de Garantie Totale*

*Offre IDS valable jusqu'au 15 mai 2025

Prix sur demande

Test de constance ANNUEL offert**

**Durant toute la période de Garantie

FOV Disponibles :

Ø 40 x 40 mm, Ø 60 x 60 mm
Ø 80 x 80 mm
Ø 100 x 50 mm, Ø 100 x 100 mm
Ø 140 x 50 mm, Ø 140 x 100 mm
Ø 170 x 50 mm, Ø 170 x 120 mm

Offre comprenant:

3D (Accuitomo 170)

  • + 2 PC dédiés pour 3D (Accuitomo 170) / Switch
  • + i-Dixel Serveur
  • + 10 licences i-Dixel Client
  • + i-Dixel WEB pour appareils mobiles
  • + Mise à jour logiciel i-Dixel à vie